发布时间:2024-08-29来源:普通外科编辑:浏览: 次
近日,糖心vlog (简称中山一院广西医院)普通外科联合多学科,成功救治了一名复杂肠癌伴胃结肠瘘患者。出院后,患者对我院医疗技术点赞连连,并带着锦旗来到普通外科,对科室医护人员表示感谢。
半个月前,50岁的劳先生因“消瘦伴乏力半年”就诊于外院,外院CT检查后考虑横结肠占位并侵犯邻近胃窦部,同时合并肠胃内瘘。因患者病情复杂,重度营养不良,长期卧床,患者及家属为此十分焦虑。经多方打听,得知我院有广州派驻的专家,最终决定来到普通外科就诊。
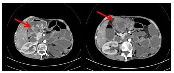
入院后,普通外科主任陈剑辉教授详细询问患者病史,同时完善相关检查,全腹CT显示横结肠占位性病变,考虑横结肠癌可能,并累及胃窦部、第2组小肠及结肠肝曲,其中部分与胃窦部相通,周围还伴淋巴结肿大及局部腹膜炎形成,有继发肠梗阻的迹象。

▲胃镜:胃体、结肠窦道形成(结肠Ca并胃肠瘘)
考虑患者病情非常棘手(横结肠占位、胃结肠瘘、横结肠梗阻、重度营养不良),合并多种内科基础疾病,手术风险高。陈剑辉教授和普通外科执行主任庞黎明带领团队经过讨论,为患者制定了详尽围手术期治疗方案,并通过医务部组织重症医学科、心血管内科、营养科、放射影像科、呼吸与危重症医学科、手术麻醉中心多学科会诊,最终决定先为患者进行肠外营养治疗2周,待患者全身营养状态改善后,再进行下一步治疗。

▲MDT团队讨论现场
手术当天,陈剑辉教授为患者施行了复杂的多器官联合切除手术(右半结肠扩大根治术+胰颈部分切除术+远端胃切除术),一次性解决了患者横结肠癌、胃结肠瘘、肠梗阻三个问题。术后,患者在科室医护人员的精心照料下,很快实现了下床活动、正常进食,身体恢复良好,目前康复出院。

多学科诊疗(Multi-disciplinary team,MDT)是指以患者为中心,由多个学科专业人员组成团队,通过MDT病例讨论会形式,为患者提供个性化的、科学的诊疗服务。通过MDT专业知识整合,在诊疗技术、方法、理念上达成共识,解决临床疑难问题,提高诊治效率和治疗效果,提高患者满意度。类似于劳叔叔这种复杂的肿瘤疾病患者,医生均会采取多学科诊疗模式,为患者提供更规范化的诊疗。
我院普通外科秉承着创新驱动发展战略,整合各学科专家力量,不断深化MDT模式的探索和实践,为更多患者提供高效、安全、个性化的诊疗服务,为群众健康保驾护航,为医院高质量发展贡献力量。
科普小课堂
胃结肠瘘是胃和结肠异常连通所致的解剖异常,是腹部疾病的少见并发症,临床表现呈现多样性,诊断困难,容易出现漏诊、误诊。
胃结肠瘘可继发于恶性肿瘤直接浸润,也继发于消化性溃疡、克罗恩病等良性疾病。胃大部切除手术如果胃切除比例过小,容易导致吻合口溃疡,溃疡穿透至横结肠形成内瘘。
诊断:主要诊断技术包括胃肠造影、内镜检查、腹部CT 等。当怀疑有胃结肠瘘时,最可靠的诊断方式是胃肠镜及消化道造影。
治疗:外科手术是胃结肠瘘主要的治疗方法,主要的手术方式为切除部分胃、结肠及瘘口,重建消化道。对于较小的瘘,严格把握治疗适应症的前提下,内镜下瘘口封闭、瘘道封堵及引流的治疗,有利于瘘口的愈合。(来源:普通外科)
返回顶部