发布时间:2025-07-29来源:放射影像科编辑:浏览: 次
近日,中山大学附属第一医院(简称中山一院)广西医院放射影像科与儿科团队通力合作,通过联合会诊和精准的影像学分析,完成一例疑难病例的精准诊断,找出患者病因,并制定了科学合理的治疗方案。目前,患者已得到针对性治疗,病情稳定向好。
12岁的小卓(化名)因持续呕吐、腹痛伴发热在当地卫生院接受“急性肠胃炎”对症治疗,但始终未见好转,最终来到我院儿科就诊。在我院住院期间,儿科主任黄雪琼在查房过程中注意到小卓出现性格多变、言语减少等情况,结合小卓持续低热症状,高度怀疑存在颅内病变可能,随后黄雪琼立即为其安排了头颅磁共振检查。

▲左图为出血层面,箭头指示血肿区域,右图为可能存在血栓层面,箭头指示T1高信号,提示可能有血栓存在。
磁共振检查结果显示,小卓左侧颞叶和顶叶出血,左侧乙状窦、横窦可见高信号灶,提示可能有静脉窦血栓形成,同时合并左耳中耳炎。放射影像科第一时间启动危急值报告机制,科室主任范淼与黄雪琼一同为患儿进行病情分析,并就下一步检查和治疗展开讨论。“患儿脑出血极可能是颅内静脉血栓(CVT)导致血液回流受阻所致,建议进行磁共振头部静脉增强检查(CE-MRV),明确血栓范围。”范淼说道。

▲黄雪琼(左)与范淼(右)商讨患者后续治疗方案。
在儿科团队的全程监护下,小卓顺利完成对比增强磁共振静脉成像(CE-MRV)检查。放射影像科团队通过优化扫描方案和动态监测造影剂循环时相,成功获取了高质量的诊断影像,清晰显示了颅内静脉窦血栓的具体位置及累及范围。基于这一精准的影像学评估,儿科治疗团队为小卓制定了个体化综合治疗方案,最终头痛等症状明显改善,后续影像复查证实血栓范围明显缩小,治疗效果达到预期目标。

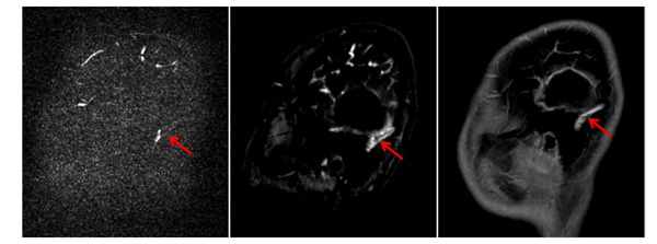
▲对比检查显示,CE-MRV(中间图)较常规PC-MRV(左图)能更准确显示乙状静脉窦内血栓的位置和范围,为临床治疗提供了可靠依据,患儿经过十天对症治疗后复查显示同一部位血栓明显缩小(右图)。
在本例患儿的诊治过程中,儿科团队凭借丰富的临床经验及时识别病情,放射影像科通过精准的影像学检查明确诊断,多学科团队密切配合为患者制定了个性化治疗方案。通过这种跨学科的深度协作,大大提高了诊断的准确性和及时性,减少了误诊和漏诊的发生,为患者的健康保驾护航。未来,放射影像科也将继续深化与临床科室的协作,进一步提升科室服务水平,为更多患者带来希望。
科普小课堂
什么是颅内静脉血栓(CVT)?
颅内静脉血栓(CVT)是脑部静脉或静脉窦内形成血凝块,导致静脉血液回流受阻和脑脊液循环障碍,引起颅内压升高和局灶性脑损害的一类脑血管疾病,可能引发头痛、视力障碍、癫痫等症状,甚至可能导致静脉性脑梗死和静脉性脑出血。主要与高凝状态、感染、外伤、药物或自身免疫疾病相关,需通过影像学确诊,抗凝治疗是基础的治疗方案。

什么是CE-MRV?
CE-MRV是通过注射对比剂(钆剂)并在头颅静脉内对比剂到达峰值时采集磁共振图像成像的检查技术。与相位对比成像的PC-MRV(无需对比剂)相比,其信号强度更高、伪影更少,能更精准地诊断静脉窦血栓等静脉病变。
CE-MRV有哪些适应症?
- 疑似静脉血栓(如脑静脉窦血栓、下肢深静脉血栓)
- 静脉畸形或血管瘤
- 肿瘤压迫静脉或静脉受侵评估
- 术前/术后静脉通路评估
放射影像科简介
中山一院广西医院放射影像科医技护力量雄厚,拥有3台3.0T 高端MRI、1台双源Force CT和1台320排超高端CT、2台数字化X线摄影系统(DR)、1台乳腺机等多种大型检查设备。开展常见部位普通放射、CT、MRI检查及增强扫描检查,此外,还开展了CT灌注成像、CT双能量成像、CT血管增强成像(头颈动脉 CTA、胸腹主动脉CTA、肺动脉CTP、冠状动脉CTA、四肢动脉CTA)和磁共振血管增强成像(CE-MRA)、磁共振心脏成像、磁共振扩散加权成像(DWI)、磁共振灌注成像(T1灌注、T2灌注成像)、磁共振弥散张量成像(DTI)、磁共振波谱分析(MRS)、磁共振类pet成像、磁共振指纹成像(MRF)、磁共振弹性成像(MRE)等。在中山大学附属第一医院放射科(国家精品课程、国家临床重点专科所在科室)的帮扶、带领下,将为广大人民群众提供最优质的医疗保障服务。咨询电话:0771-5722153
主要专家介绍
范 淼

主任医师,医学博士,博士研究生导师。中山一院广西医院放射影像科主任,医学影像教研室主任。
担任中华医学会放射学分会儿科学组委员,中华医学会儿科学分会放射学组委员,中国医师协会放射医师分会学组、青春期医学临床影像学组委员,中国妇幼保健协会母胎影像医学专委会常委,中国研究型医院学会中枢与头颈感染影像学组副组长,广东省妇幼保健协会放射专委会常委,广东省医学会、医师协会、抗癌协会、健康管理学会等学会小儿肿瘤专委会、儿科影像学组常委及委员,广东省重症孕产妇和新生儿救治专家组成员,广东省妇幼保健协会母胎医学专业委员会委员。2023年
起担任广西预防医学会放射学专委会主任委员及感染影像专委会常务委员、广西非公立医疗机构协会放射专委会副主任委员、广西医师协会放射医师分会委员等。
在中山大学附属第一医院工作28年,其中中山一院广西医院工作2年。擅长成人各系统疾病及胎儿、儿童、青春期及妇产疾病影像诊断、术后影像评估。主编专著2部、主译专著1部、副主编4部,参编15部;发表文章120篇。
杨映霞

中山一院广西医院放射影像科副主任,副主任医师,医学博士,硕士生导师。主要从事心血管疾病的影像诊断研究。多次在国内外相关学术会议上交流,2019年国际心血管磁共振年会(SCMR)获得 Travel Award。主持广西自然科学基金面上项目1项,发表论文数篇。学会任职:
中国肺癌防治联盟肺结节诊治分中心副主任
中国医学装备协会磁共振专委会委员
中国研究型医院感染影像专委会委员
中国医疗保健国际交流促进会心血管磁共振诊断分会委员
中国核工业教育学会核医学人才分会委员
中国医师协会放射医师分会科研协调组组员
广西预防医学会放射学专业委员会副主任委员
广西医学会放射学分会心胸学组组员
广西医师协会核医学分会委员
广西中西医结合学会医学影像专业委员会常委
广西预防医学会感染影像专委会委员
黄 涛

中山一院广西医院放射影像科副主任,副主任技师,擅长CT低剂量技术扫描,CT/MRI心血管检查技术优化。毕业于四川大学华西临床医学院医学技术(医学影像)专业,曾在广东省人民医院放射科工作3年。近年来,主持及参与多项省厅级科研课题,在核心期刊发表论文十余篇。
学会任职:
中华医学会影像技术分会医学影像AI学组委员
广西医学会影像技术学分会青年委员会副主任委员
广西医师协会放射影像技师分会常务委员
广西医学会影像技术学分会磁共振学组组员
广西预防医学会放射学专业委员会常务委员(来源:放射影像科)
返回顶部