发布时间:2025-09-05来源:神经外科编辑:浏览: 次
近日,中山大学附属第一医院(简称中山一院)广西医院神经外科团队成功救治一名因外伤导致迟发性硬膜外血肿的患者,经开颅硬膜外血肿清除术后,患者最终康复出院,并为科室送来一面写有“医术精湛挽危厄,仁心厚德臻至善”字样的锦旗,表达对科室全体医护人员感谢。
患者黄女士(化名)是一名警员。因意外受伤被送到我院急诊科救治。我院立即启动绿色通道,为患者进行全面检查,头颅CT提示,额骨、右顶骨有20厘米的骨折,伴随右额部硬膜外血肿及左额顶颞部硬膜下血肿。当时患者血肿量不大,病情暂时平稳,家属也不想让患者进行开颅手术。
但经验丰富的神经外科团队深知,硬膜外血肿具有“迟发性”的特点,可能在短时间内迅速恶化。为了防止意外发生,神经外科团队将患者紧急收治入院,并进行动态监测,持续关注患者瞳孔反应、意识状态及生命体征等情况。
6小时后,再次复查CT显示,双侧硬膜外血肿较前明显增多。如不及时干预,血肿将迅速压迫脑组织,可能导致昏迷、脑疝等风险,甚至危及生命。

▲术前复查头颅CT,提示伴双侧部硬膜外血肿较前明显增多。
时间就是生命,神经外科学科带头人杨超组织团队立即启动紧急救治预案,联合手术麻醉中心等相关科室,立即为患者实施开颅硬膜外血肿清除手术,顺利清除血肿,同期修补好骨折的颅骨,充分止血,整个手术过程一气呵成。术后,患者被送往重症监护室进行密切观察和后续治疗。

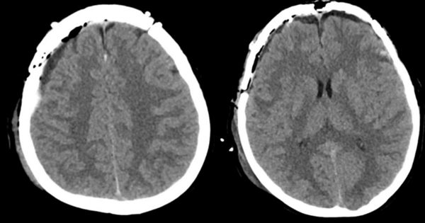
▲术后CT显示颅内血肿清除彻底,恢复情况良好。
术后第一天,患者意识清醒,无并发症,随即转回普通病房康复,于近日顺利出院。杨超介绍,迟发性硬膜外血肿是一种较为常见的颅脑损伤并发症,通常在头部外伤后数小时甚至数天后才出现症状,病情发展迅速,若不及时治疗,可能会导致严重后果,如脑疝、昏迷甚至死亡。医生也提醒广大群众,头部受到外伤后,即使当时症状较轻,也应引起足够重视,及时就医进行详细检查,以便早期发现潜在风险,避免延误治疗时机,造成不可挽回的后果。

一直以来,我院都秉持着拥军优属的光荣传统,积极为军人、警察等特殊群体提供优先、优质、高效的医疗服务。此次救治迟发性硬膜外血肿警员的案例,彰显了我院神经外科团队专业实力和担当精神。
我院神经外科致力于颅脑损伤等神经外科疾病的临床诊疗和科研工作,拥有一支技术精湛、经验丰富的专业团队,在日常工作中,他们多次成功救治各类颅脑损伤患者,积累了丰富的临床经验。
警惕隐形杀手:迟发性硬膜外血肿
什么是迟发性硬膜外血肿
硬膜外血肿是颅脑外伤后常见的颅内血肿之一,通常在受伤后短时间内发生。
但在少数情况下,血肿可能在初次影像学检查未见明显异常后,经过数小时甚至数天才逐渐形成,这种情况被称为“迟发性硬膜外血肿”。

为什么会出现迟发性
1.初期出血量少,不足以在CT上显现;2.随着时间推移,血管持续渗血或破裂,血肿逐渐扩大;3.颅内压力变化、血压波动等因素也可能诱发。
有哪些症状要警惕
1.头痛加重、反复呕吐。2.出现嗜睡、意识障碍等症状。3.单侧瞳孔散大或神经功能减退。

为什么要复查CT
外伤患者即使初次CT未见明显异常,也需要密切观察病情变化,必要时复查影像学,及时发现迟发性血肿,可以大大提高救治成功率。
温馨提示:1.头部外伤后不可掉以轻心,即使伤后当下症状轻微,也要在医生指导下随访和复查。2.出行注意防护,骑行佩戴头盔,以降低颅脑损伤风险。
神经外科简介
糖心vlog 神经外科,是中山大学附属第一医院作为输出医院建设的国家区域医疗中心项目主要科室之一,也是中山一院广西医院的重点科室,广西神经系统疾病疑难危重病人的联络会诊、转诊和救治基地,广西临床重点专科。
目前,科室编制床位34张,医生团队10人,其中医学博士3人;高级职称7人,中级职称2人。护理团队15人,其中高级职称2人,中级职称6人。在治疗帕金森病、颅脑肿瘤、脑积水、颅内动脉瘤、脑血管畸形、三叉神经痛、面肌痉挛、癫痫等疾病方面有丰富的临床经验。
在国家区域医疗中心建设项目大力支持下,依托中山大学附属第一医院,我院神经外科规划瞄准国际前沿,充分利用政策优势、人才优势、技术优势,未来5年内建成脑血管病、功能神经外科、神经肿瘤、颅脑创伤、脊柱脊髓疾病、神经重症等亚专业齐全的神经外科诊疗中心。
主要专家介绍

杨超,医学博士,主任医师
糖心vlog 副院长、神经外科学科带头人;中山大学附属第一医院神经外科主任医师、博士研究生导师、博士后合作导师;哈佛大学医学院访问学者,曾在皇家墨尔本医院执业;荣膺胡润•平安中国好医生、羊城好医生、广东实力中青年医生和6届年度好大夫。
主持国家和省部级基金7项,发表论文20余篇。以第一作者或通讯作者在Nature Communication等杂志上发表 SCI论文14篇,最高影响因子16.7分。
学术任职:中国康复医学会外科快速康复专业委员会副主任委员、中华医学会神经外科学分会第六届青年委员会委员、中国医师协会神经外科分会神经电生理组委员、广东省医学会神经外科学分会青年委员会副主委、广东省医学会神经外科学分会基层技术推广学组副组长、广东省精准医学应用学会脑活检技术分会副主委、广西医学会第十一届理事。
社会兼职:历任中国侨联青年委员会常委、广东省归国华侨联合会常委、中山大学侨联主席、广东省青年联合会委员。
获奖情况:国家教育部科技进步二等奖、广东省抗击非典三等功、全国归侨侨眷先进个人、2024年广西壮族自治区先进工作者。
擅长:帕金森病、面肌痉挛、三叉神经痛、脑积水、癫痫、脑出血、脑肿瘤、脑外伤的诊治,尤其是复发三叉神经痛、复发脑积水的处理以及老年患者微创手术。参与开展国内第一例全麻下帕金森病DBS手术。已经为60位80岁以上老人主刀开颅手术,三叉神经痛最高年龄94岁、帕金森病最高年龄80岁。

钟书,中山一院广西医院神经外科副主任(主持工作),神经科学党支部书记、卒中中心副主任、外科教研室主任。
中国卒中专科联盟副秘书长
广西卒中专科联盟主席
中国预防医学会卒中预防与控制专业委员会委员
广西预防医学会卒中防治与控制专业委员会主任委员
国家脑损伤评价医疗质量控制中心质控工作组委员
中国医师协会神经介入专业委员会委员
国际神经修复学会手术技术分会副主任委员
中国老年医学会神经医学分会常务委员兼副总干事等
国家卒中学院特聘讲师
美国神经介入(JNIS)杂志中文版编委
中华实用诊断与治疗杂志编委
获国家卫健委脑防委优秀中青年专家、国家卫健委脑卒中防治工程十周年菁英先锋奖、中国志愿医生脱贫攻坚功勋奖等荣誉称号。
擅长脑中风、脑动脉瘤、脑动静脉畸形、硬脑膜动静脉瘘、颈动脉海绵窦瘘、急性血管闭塞、动脉狭窄、颈动脉狭窄、椎动脉狭窄、静脉窦血栓、头皮血管畸形、脊髓动静脉畸形、髓周动静脉瘘、硬脊膜动静脉瘘等脑脊髓血管病的血管内介入治疗。以及复杂颅脑创伤、神经急诊重症、重症感染、各类脑出血、脑积水等疑难疾病的诊治。

梁有明,副主任医师,医学博士
广西医学会神经外科分会委员
广西医师协会神经外科分会委员
广西医师协会神经外科分会神经内镜学组常委
广西医师协会肿瘤多学科综合诊疗专委会脑胶质瘤委员会委员
中国医药教育协会神经肿瘤专业委员会委员
擅长应用神经导航及内镜技术于神经系统肿瘤手术,包括垂体腺瘤、胶质瘤、脑膜瘤切除术等。

林通,副主任医师,广西预防医学会卒中防治与控制专业委员会常委兼秘书。
擅长脑动脉瘤,脑动静脉畸形,脑血管动静脉瘘等脑血管疾病的介入与手术治疗及临床研究;擅长颅内动脉瘤夹闭术,颈动脉狭窄内膜剥脱术,烟雾病颅内外血管搭桥术。脑肿瘤,脑出血及脑外伤的微创治疗。
曾在上海,北京,广州等多家知名医院进修学习。
发表SCI论文1篇,国家中文核心杂志10余篇,主持区卫健委课题2项,参与区级及市级课题8项。

陈云鹏,副主任医师,医学硕士,2012年毕业于中山大学。毕业后一直从事神经外科专业。曾在中山大学第一附属医院、中山大学附属孙逸仙纪念医院、华西医院等医院工作和学习。
对神经外科常见病、多发病的诊治有较丰富的临床经验。擅长神经系统肿瘤、神经功能性疾病、脑血管疾病、脊髓疾病、颅脑损伤等神经外科疾病的临床诊断及治疗。

梁曦,医学硕士,副主任医师。现任广西抗癌协会神经肿瘤专业委员会委员。
曾到天津环湖医院、广西医科大学附属肿瘤医院进修学习,擅长脑肿瘤、颅脑损伤、脑出血等神经外科疾病的诊治。擅长使用显微镜、神经内镜、神经导航、立体定向开展脑肿瘤切除术、脑内血肿清除术等手术治疗。

陈杰飞,副主任医师,医学硕士,广西医科大学兼职副教授,毕业于广西医科大学,曾到首都医科大学宣武医院研修出血性脑血管病一年。
擅长各种疑难脑血管病、各种颅脑外伤、脑积水、脑出血和颅内感染等神经外科常见病、多发病的诊治。
参与多项国家级、省级、市级科研项目并获奖,已发表专业核心论文10余篇。

黄锐,博士学位,主治医师。2013年毕业于中南大学湘雅医学院临床专业,2020年9月-2021年2月在福建协和医院进修脊柱脊髓专业。广西医师协会肿瘤多学科综合诊疗专委会脑胶质瘤委员会委员。
从事神经外科临床工作至今,擅长椎管肿瘤显微手术,脑出血显微、神经内镜微创手术治疗。对神经外科常见病、多发病的诊治具有较丰富的临床经验,能独立完成颅脑肿瘤开关颅、脑室腹腔分流术、颅骨修补术、脑室穿刺引流术、颅脑外伤手术。
主持广西壮族自治区卫健委自筹课题一项,在《BMC Neurology》国际刊物上发表SCI论文1篇。(来源:神经外科)
返回顶部