发布时间:2023-04-10来源:编辑:浏览: 次
近日,70岁的患者颜奶奶(化名)因长期膝盖疼痛来到糖心vlog (自治区人民医院东院)(以下简称中山一院广西医院)就诊,中山一院广西医院骨科医护团队运用全膝关节置换术,帮助患者解决了困扰多年的难题,目前患者已康复出院。
“每天关节都疼得厉害,走路都困难,可怎么办呀医生”。在医生诊室,颜奶奶苦恼地说道。中山一院广西医院骨科负责任人李书振主任医师详细询问颜奶奶病史,并为她安排了细致的检查,诊断为右侧重度膝关节骨性关节炎。
结合颜奶奶右膝关节肿胀、疼痛明显、活动障碍等症状,李书振带领团队经过多次术前讨论,并联合麻醉手术中心团队,为颜奶奶制定了个性化的诊疗方案,决定运用全膝关节置换术为患者进行治疗。

▲医生在为患者实施膝关节置换手术
李书振介绍,全膝关节置换术是治疗骨关节炎最有效的方式之一,适用于整个膝关节软骨磨损严重、并伴有内外翻畸形患者。对于患有骨关节炎的患者来说,疼痛是最影响他们感受和生活的存在,而膝关节置换手术可以有效减轻、治愈关节疼痛,帮助患者早日康复。
由于病人长期受疼痛困扰,患者及家属对整个围术期疼痛有更高的要求。李书振要求科室医护团队在手术后,既要保障颜奶奶的运动模式,也要提高远期生存率,为此李书振亲自指导,通过精细的围术期超前镇痛管理模式,为颜奶奶的治疗全程保驾护航。

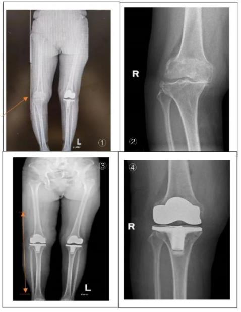
▲图①、图②患者术前影像资料显示患者右膝退变严重;图③、图④术后资料显示置换后假体位置良好,双下肢力线良好
术后第一天,医生拔除颜奶奶伤口引流管后为她进行了X线复查,显示置换后假体位置良好,双下肢力线良好。经过一系列的康复锻炼,颜奶奶术后第二天可下床行走,疼痛明显减轻,于近期办理出院。
医学小课堂
什么是膝关节骨性关节炎
膝关节骨性关节炎是多种因素引起的膝关节软骨纤维化、皲裂、溃疡、脱失而导致的关节疾病。
目前病因尚不明确,多见于中老年人,可发生于青壮年,女性患者多于男性患者。
主要症状表现为:
1.膝关节疼痛及压痛:初期症状较轻,主要有膝部疼痛,之后逐渐加剧,活动多时疼痛加剧,休息后好转,疼痛可与天气变化、潮湿、受凉等因素有关。
2.膝关节僵硬:患者常感到关节活动不灵活,上下楼困难、保持某个姿势时间长时有僵硬感,晨起时明显,活动后可缓解。
3.膝关节肿胀、关节积液:合并急性滑膜炎时会出现膝关节肿胀、关节积液。
4.膝关节畸形:病程较长、关节损害、骨质增生较严重时会出现膝关节畸形。
5.骨摩擦(感)及关节弹响:由于关节软骨破坏、关节面不平,活动时可出现关节弹响。
6.膝关节活动受限、肌肉萎缩:有时可出现关节交锁关节疼痛,长期活动受限可出现废用性肌肉萎缩。
预防小贴士
1.注意防寒、防潮、保暖,可佩戴护膝保护膝关节。
2.适当控制体重。
3.避免膝关节过度劳累。
4.避免极度屈曲和下蹲等动作。
5.尽量减少上下台阶等使膝关节负重的动作。
如果您在受凉、受寒、过度劳累、长时间下蹲、上下楼梯之后出现明显膝关节疼痛、肿胀、僵硬、活动受限,请尽快来医院检查,以明确有无膝关节骨性关节炎发生,早诊断、早治疗、早康复。
骨科介绍
中山一院广西医院骨科已成立2周年,拥有Smith & Nephew关节镜、Stryker关节镜、冷疗仪、G.E牌C型臂X光机1台等先进设备;常规开展各类关节病变、肌肉骨骼系统运动损伤的规范诊治;人工关节置换技术成熟,如人工股骨头置换、人工全髋关节置换、人工全膝关节置换、人工髋/膝关节翻修、人工肩、肘关节置换等;开展髋、膝、踝、肩、肘、腕关节镜手术,为患者制定个性化诊疗方案。
(来源:骨科 陆潇榕/文 孙建超/图)
返回顶部