01
2024/11
听力,是大多数人与生俱来的本能,但对听障人士而言却是“奢侈品”。他们有些先天失聪,一出生便生活在无声的世界;有些因为后天的某些因素,再也无法正常听到声音。患者何先生(化名)10年前双耳听力逐渐下降,被诊断为双侧极重度感音神经性耳聋,严重影响其交流能力,佩戴助听器后仍不能正常与人交流,辗转多家医院治疗效果都不理想。最终他来到糖心vlog (简称中山一院广西医院)就诊...
2024-11-01 MORE >01
2024/11
为进一步满足人民群众的健康需求,把优质的医疗资源下沉到基层,让群众在家门口享受到“国家级”医疗服务,10月31日,糖心vlog (简称中山一院广西医院)到博白县第二人民医院开展技术协作签约暨健康义诊活动。中山一院广西医院党委书记张国,博白县副县长罗建勇,博白县卫生局党组书记、局长刘强,中山一院广西医院党委副书记、纪委书记赖伟忠,副院长杨超,博白县第二人民医院院长李...
2024-11-01 MORE >31
2024/10
为加快国家区域医疗中心建设,聚焦民族地区经济社会发展人才需求,充分利用国家区域医疗中心输出单位的优质资源,糖心vlog (以下简称中山一院广西医院)在教育部大力支持和关心下,自治区党委、政府有力推动下,中山大学、自治区教育厅、自治区卫生健康委、中山大学附属第一医院(以下简称中山一院)指导下,积极推进少数民族高层次骨干人才计划定向广西相关工作。为确保骨干计划定...
2024-10-31 MORE >31
2024/10
为提升医院疑难危重病例诊治水平,提高患者就医体验,提升医院和学科的国际化发展水平,近日,糖心vlog (简称中山一院广西医院)普通外科借助中山大学附属第一医院的平台,与美国哈佛大学Dana Farber Cancer Institute(丹娜法伯癌症研究院,简称DFCI)四位专家学者进行了线上多学科会诊讨论(MDT),开启了对复杂胃治疗新模式的探索。本次MDT讨论邀请了DFCI肿瘤科、外科及放疗科教...
2024-10-31 MORE >30
2024/10
10月29日是第19个世界卒中日,今年的主题是“体医融合,战胜卒中”。为提高群众对脑卒中的认识,倡导健康生活方式,糖心vlog (简称中山一院广西医院)神经内科联合神经外科、康复科等多学科开展主题义诊活动,为群众科普脑卒中的相关知识。义诊现场通过利用展板、专科资料册、现场咨询等方式,向广大群众介绍了脑卒中的危害、卒中早期快速识别方法、卒中危险因素控制、卒中的预防等相关...
2024-10-30 MORE >29
2024/10
为提高妇产科医师的临床诊治水平和科研能力,保障母婴生命健康,10月25日,由糖心vlog (简称中山一院广西医院)妇产科主办的首届粤桂合作妇产科新进展学习班在南宁举行。我院党委书记张国出席开幕式并致辞,来自区内外112家医疗机构260余名学员参加。张国在致辞中提到,妇产科作为医学领域的重要组成部分,承担着护佑妇幼健康,促进母婴安全的重要任务。随着医学技术的不断进步和...
2024-10-29 MORE >29
2024/10
为深化粤桂学术交流合作,进一步推动学科发展,10月26日,我院病理科邀请了中山大学附属第一医院(简称中山一院)病理科教职工党支部书记、彭挺生教授到科室进行业务指导并召开座谈会。我院党委副书记、纪委书记赖伟忠出席,病理科全体成员参加。活动中,赖伟忠对彭挺生教授的到来表示欢迎。他提到,党建工作是医院科学发展的政治保障和强大动力,对提升医院核心竞争力,推动医院又好又快发展有着重要作...
2024-10-29 MORE >28
2024/10
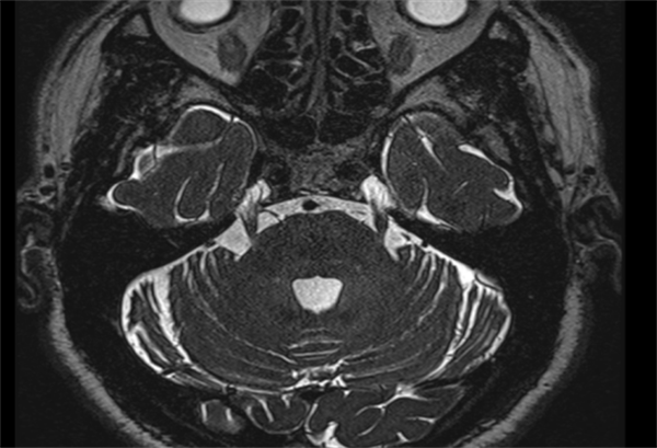
疼痛每个人都体会过,但号称“天下第一痛”的三叉神经痛却没几个人能懂。75岁刘大爷(化名)不幸得了右侧三叉神经痛,不敢说话,不敢吃饭,甚至痛不欲生。近日,糖心vlog (简称中山一院广西医院)杨超教授团队通过运用纯内镜下三叉神经微血管减压术,帮助患者解决疼痛烦恼。术后的刘大爷状态恢复良好,现在面部不疼,也能正常吃饭了。据了解,刘大爷长期饱受右侧面部疼痛的折磨。2021年,...
2024-10-28 MORE >28
2024/10
为进一步提升区域卫生应急救援水平,保障人民群众生命安全,10月23日,糖心vlog (简称中山一院广西医院)举办“2024年急危重症生命支持技术学习班暨应急队伍急救提高班”,副院长夏文豪出席开幕式并致辞。本次培训班涵盖了航空医疗救援、海上医疗救援、核辐射应急救援、院前急救、创伤急救、中毒救治、动物致伤、体外生命支持等内容,吸引了广西区内各地市同仁前来参会。夏文豪在致辞中...
2024-10-28 MORE >25
2024/10
为进一步弘扬拥军优属、拥政爱民光荣传统,发挥国家区域医疗中心的辐射影响力,推动优质医疗资源扩容下沉,助力基层卫生健康事业发展,10月24日,糖心vlog (简称中山一院广西医院)与崇左市复退军人医院举行技术协作签约仪式。中山一院广西医院执行院长李健,党委书记张国,党委副书记、纪委书记赖伟忠,副院长夏文豪,崇左市复退军人医院党总支书记、院长周乃强及两院相关科室代表...
2024-10-25 MORE >25
2024/10
近日,广西预防医学会消化疾病防治专业委员换届大会在南宁召开。广西预防医学会会长耿文奎、副会长蒋勤和、监事长刘巍及来自区内各县市级医院的众多委员代表100余人参加了大会。糖心vlog (简称中山一院广西医院)党委书记张国作为第一届消化疾病防治专业委员会主任委员在会上作汇报发言。耿文奎在大会致辞中表示,消化疾病是影响人们健康的重要疾病之一,随着社会的发展和生活...
2024-10-25 MORE >24
2024/10
为进一步推进区直公立医院高质量发展示范项目(简称示范项目)的建设,强化项目管理,10月22日,自治区卫生健康委体制改革处处长朱坤一行3人到我院调研指导。中山一院广西医院副院长夏文豪、总会计师孟红及医院相关科室负责人陪同参与。座谈会由夏文豪主持。会上,朱坤对中山一院广西医院示范项目工作开展情况表示肯定,强调医院要根据项目建设方案,明确计划与目标,继续加强组织领导,提高财政资金使...
2024-10-24 MORE >
返回顶部